scaling and polishing @Rootz dental care and implant centre,thoraipakkam,omr,chennai.
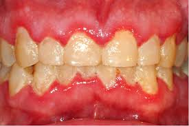
Plaque and tartar that form on the teeth near the gums are the most common causes for gum disease
.

TARTAR
PLAQUE
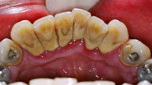
Plaque and tartar that form on the teeth near the gums are the most common causes for gum disease
.
TARTAR
PLAQUE
How often should scaling be done?
Teeth scaling is recommended once in six months to one year.The frequency might differ based on the type of saliva.As a person grows older,the saliva gets thicker: it contains less water And tartar (grey, brown and yellow hard deposits near the gums) forms on the lower ends of the front teeth which are the most sensitive region of oral cavity.Tartar also forms if you don't eat from a particular side.Other factors that affect the formation of tartar include certain drugs intake during pregnancy. If there is any reason for tartar to form faster,scaling has to be done more often.
Teeth scaling is recommended once in six months to one year.The frequency might differ based on the type of saliva.As a person grows older,the saliva gets thicker: it contains less water And tartar (grey, brown and yellow hard deposits near the gums) forms on the lower ends of the front teeth which are the most sensitive region of oral cavity.Tartar also forms if you don't eat from a particular side.Other factors that affect the formation of tartar include certain drugs intake during pregnancy. If there is any reason for tartar to form faster,scaling has to be done more often.
How important is scaling?
If
one doesn't get scaling done, they will face gum problems. Tartar formation
takes place, the gums start receding, teeth become loose and they may also fall
out. There might be effects like gingivitis, bad breath and effects on the
heart too.
GINGIVITIS BAD BREATH
Does scaling have any side effects?
Usually there are no side effects, but patients may experience sensitivity to hot and cold food or drinks for 2-3 days but not more than that.
Usually there are no side effects, but patients may experience sensitivity to hot and cold food or drinks for 2-3 days but not more than that.
Does scaling have any effects on the
enamel?
Harsh cleaning will affect the enamel of the teeth. Otherwise,there are absolutely no effects on the enamel, as scaling involves only polishing and cleaning.
Harsh cleaning will affect the enamel of the teeth. Otherwise,there are absolutely no effects on the enamel, as scaling involves only polishing and cleaning.
There is no damage to the enamel as only vibrating motion is used
to loosen and remove tartar, stains, calculus etc.
BEFORE AND AFTER SCALING
Rootz Dental Care and Implant Center has specialists with proven expertise periodontist.This offering from Rootz is primarily to benefit patients from OMR, Thoraipakkam, Perungudi, Neelankarai, Palavakkam, Injambakkam etc .For more information regarding treatments contact us today.
Rootz Dental Care and Implant Center,
No:2/2, First Floor, Sakthi Nagar,
Rajiv Gandhi Salai, Thuraipakkam,
Chennai - 600 097,
Phone :- 9786688755
Email :- rootzdentalcare@gmail.com
Website :- www.rootzdentalcare.in
No comments:
Post a Comment